Orthokeratologie – Stammkundengenerierung und Vorbeugung im Myopie Management
Zielsetzung:
Erfolgreiches Geschäftsmodell Orthokeratologie und Angebote zum Business Case für Ihre Kunden und Kontrolle der progressiven Myopie bei Ihren Kindern und Jugendlichen.
Zeitrahmen:
Die Idealschulung zwei halbe Tage
Erster Schulungsblock:
Tag 1: 13:00 Uhr bis 18:00 Uhr mit anschließendem Team-Essen
Tag 2: 09:00 Uhr bis 13:00 Uhr.
Alle Zeiten können individuell angepasst werden.

Erläuterung:
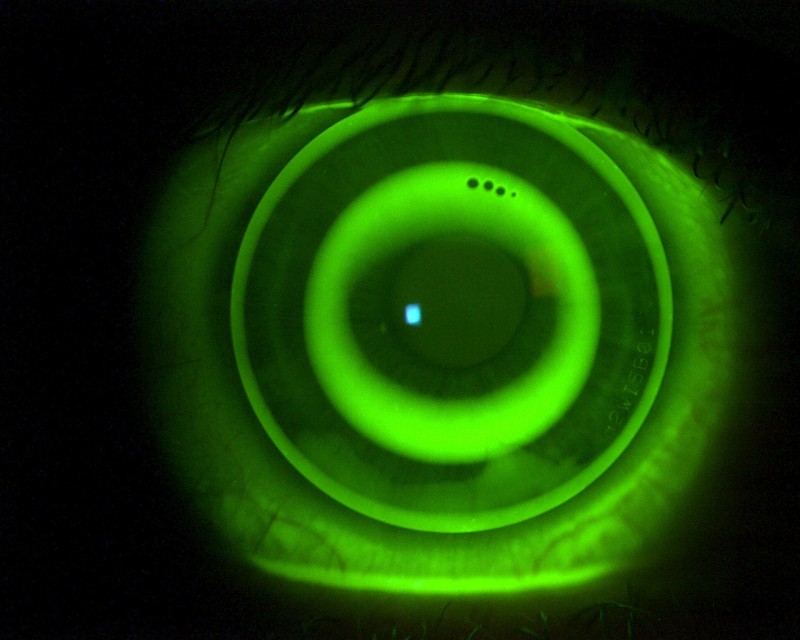
Die Orthokeratologie, in Kombination mit Atropin, bietet nicht nur die beste Möglichkeit, die Progression der Myopie zu hemmen oder zu stoppen, sondern schafft auch eine Freiheit, die von den Trägern geschätzt wird. Eine zufriedene Kundschaft, die sich als treu erweist und Mundpropaganda betreibt, ist das Ziel.
In meiner Schulung behandeln wir verschiedene wichtige Themen. Angefangen bei der Kundenselektion und -ansprache über das Informationsgespräch bis hin zum Anpassungsprozess, basierend auf meinen eigenen Erfahrungen von nun mehr 21 Jahren! Wir besprechen die Auswahl geeigneter Produkte wie Kontaktlinsen und Pflegemittel und führen eine trockene-Augen-Analyse durch.
Die Schulung deckt auch die Handhabungsunterweisung sowohl bei Kindern als auch bei Erwachsenen ab, da dies entscheidend für den Erfolg ist. Gemeinsam mit Ihren Kunden erleben Sie den WOW-Effekt nach der ersten Nacht und setzen den erfolgreichen Weg fort.
Darüber hinaus behandeln wir mögliche Herausforderungen während des Anpassungsprozesses und besprechen Strategien für den Umgang mit Problemen oder Anpassungsabbrüchen. Erfahrungsberichte aus verschiedenen Landkreisen bieten eine praxisnahe Perspektive.
Wir werden auf spezielle Fälle eingehen, die auch Probanden nach Lasik, Myopie bis zu -9,00 Dioptrien, Linsenastigmatismus bis zu 2,00 Dioptrien, als auch Hornhautastigmatismus bis zu 3,00 Dioptrien betreffen. Normal kann jeder!
Wir vollziehen auch eine Live-Anpassung mit einem Teammitglied oder einer Ihrer Kunden. Incl. Nachkontrolle nach der ersten Nacht am nächsten Morgen.
Sollten Sie bereits in der Anpassung tätig sein, können Problemfälle auch mit geklärt werden.